马德龙综合征(马凡综合征的治疗方法)2025年11月精选观点
马德龙综合征(马凡综合征的治疗方法)
马德龙病基础知识madelung27sdisease[b0]了解马德龙综合征关注罕见病马德龙综合征又称为脂肪代谢障碍症是[b1]河马脖madelungsyndrome[b2]madelungsyndrome[b3]马德龙综合征madelungsyndrome[b4]柳人医多学科诊疗让身患罕见马德龙综合征男子康复[b5]马德龙综合征你忽视的颈部肿块真相[b6]山大二院成功完成罕见病马德龙病手术治疗[b7]少见的病马德龙病马德龙病[b8]国庆中秋聚会须注意饮酒过量惹的祸[b9]马德龙病患者[b10]少见的病马德龙病马德龙病[b11]柳人医多学科诊疗让身患罕见马德龙综合征男子康复[b12]马德龙综合征良性对称性脂肪瘤病[b13]国庆中秋聚会须注意饮酒过量惹的祸[b14]马德龙综合征是什么看完视频就知道了[b15]马德龙病的临床及声像图特点[b16]长期大量饮酒是马德龙综合征的主要诱因酒精会干扰体内[b17]男子身患罕见马德龙病常德二医助其解除枷锁[b18]马德隆畸形影像学表现[b19]马德龙病介绍[b20]李辉主任温馨提醒马德龙综合征主要发生在长期重度饮酒的中年男性[b21]马德龙病临床分析[b22]长期酗酒对健康的全面影响以马德龙综合征为例[b23]全网资源[b24]马德龙病附超声图片[b25]马德龙畸形[b26]马德隆畸形[b27]马德龙病[b28]患者常因颈部畸形活动受限压马德龙晚期图片什么是马德龙马德龙综合[b29]李辉主任温馨提醒马德龙综合征主要发生在长期重度饮酒的中年男性[b30]湘雅常德医院[b31]回顾父亲基因太强大一张马脸遗传全家儿女们有苦难言[b32]李辉主任温馨提醒马德龙综合征主要发生在长期重度饮酒的中年男性[b33]全球罕见病例曝光遂宁确诊一例马德龙综合征患者[b34]马德龙病[b35]马德龙病呼吸不畅的元凶[b36]一家族7人确诊马凡氏综合征近日宁波市一家族七人被确诊为马凡氏[b37]麻醉医生护航马德龙综合征患者享舒适化无痛诊疗[b38]delange综合征[b39]男子脂肪狂长堆成绿巨人原来患上全球罕见马德龙病[b40]身患罕见马德龙病成都三医院耳鼻喉科团队帮他成功减负[b41]鄄城县人民医院普外二科完成罕见病马德龙病手术治疗[b42]湘西一男子患全球罕见马德龙病[b43]br今天和大家分享一个罕见病[b44]17岁女孩手腕马德隆式畸形需要手术吗[b45]马德龙病[b46]医院门诊来了两位绿巨人他们都爱喝这个[b47]超声科晋升副主任医师职称超声诊断马德龙综合征病例分析专题报告[b48]桂林一老汉形似绿巨人只因这个习惯[b49]马德龙病[b50]国庆中秋聚会须注意饮酒过量惹的祸[b51]马德龙综合征专题宣讲[b52]马德隆畸形[b53]国庆中秋聚会须注意饮酒过量惹的祸[b54]山东一中年男子脖子肿成牛颈原来患上全球罕见马德龙病[b55]13岁女孩超1米7确诊天才病[b56]马德龙是谁没听过就算了千万别惹上[b57]每天喝一斤以上白酒大叔患上马德龙综合征脖子肿胀似河马[b58]原来他患上了罕见疾病马德隆综合征[b59]
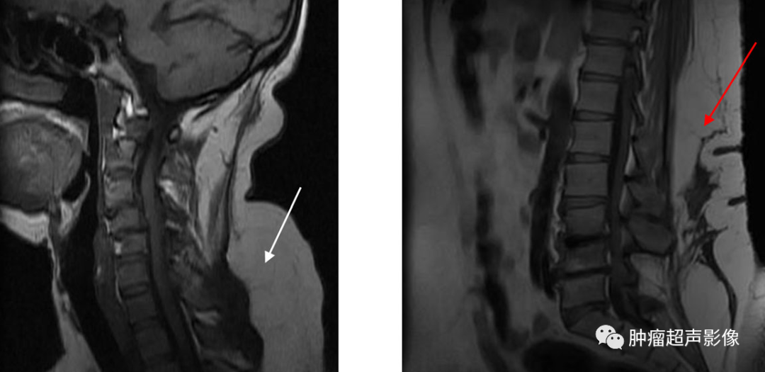
马德龙综合征[s0]image.png[s1]哈医大四院颈部长了大肉球当心患上罕见病马德龙病[s2]马德龙病[s3]济南市传染病医院医生让你了解马德龙病[s4]马德龙综合征 baijiahao.baidu.com[s5]成都男子身患罕见马德龙病,全球仅约400例![s6]马德龙综合征 来自网易[s7]【哈医大四院】酗酒患上马德龙病 医生巧妙切除颈部肿瘤[s8]马德龙综合征 来自搜狐网[s9]2.多发性对称性脂肪增多症(madelung病)[s10]马德龙综合征 来自搜狐网[s11]马德龙综合征[s12]byb.cn[s13]【超声角】★对称分布の浅表肿物★【附两例病例】★马德龙综合征★[s14]肘部对称性包块罕见部位的马德龙病[s15]马德龙综合征 baijiahao.baidu.com[s16]马德龙综合征 来自网易[s17]马德龙综合征ppt课件[s18]陪拉格氏病[s19]下和非内镜下面部、颈部手术治疗各类疤痕、以及自体脂肪移植技术等。 手术治疗良性对称性脂肪瘤病(马德龙病)疗效好耳鼻咽喉头颈外科[s20]马德龙综合征:当饮酒成为健康的隐形杀手[s21]直到几年前,与她一样有着同样体型特征的弟弟因发病被查出患有马凡综合[s22]手术方法,保留颈部肌肉和器官,沿颈筋膜彻底切除增生脂肪,避免复发。马德龙病,良性对称性脂肪瘤病(be[s23]马德龙综合征 凤凰网[s24]image.png[s25]马德龙综合征 新浪网[s26]什么是马德龙病![s27]马方综合征躯干症状图[s28]【超声随响】第07期 马德龙综合征 madelung syndrome[s29]马德龙病又叫多发性对称性脂肪增多症,是一种罕见病,多发于中年男性。可以导致酒精在肝脏中的代谢出现紊乱[s30]假性马德隆(madelung)畸形一例[s31]什么是马德龙病[s32]马德龙综合征 baijiahao.baidu.com[s33]【讨论】马德隆畸形[s34]马德隆氏畸形x表现课件[s35]嗜酒如命患上罕见马德龙病,医生从大爷颈部取出大团肿瘤[s36]典型病例marshallwhite综合征[s37]马德龙病的超声表现[s38]马方综合征[s39]
马德龙综合症了解一下长期饮酒造成的哔哩哔哩bilibili[g0]还敢长期酗酒脖子长出一圈肉瘤是什么走近脖子粗大的马德龙综合征医学科普科普一下医学知识科普喝酒脖子变粗是因为什么抖音[g1]梅杰综合征不要盲目治疗哔哩哔哩bilibili[g2]疑难门诊②当代牛马综合征哔哩哔哩bilibili[g3]每天喝一斤以上白酒大叔患上马德龙综合征脖子肿胀似河马哔哩哔哩bilibili[g4]这非常典型的马德龙病长期酗酒脂肪变异马德龙病又称良性对称性脂肪瘤病脂肪瘤马德龙病肿瘤专家王春萌假性马德龙抖音[g5]生活圈丨要命的喝酒每天喝2斤白酒大爷患马德龙病[g6]大爷脖子肿大这是怎么回事网友应该是马德龙综合症[g7]马尾综合征[g8]马尾综合征的详情介绍[g9]
页面下方是[高特美图网]小编根据你当前搜索的关键词【马德龙综合征】帮你整理出来的相关图片素材(不可商用)、视频资料(版权归原作者)、站内相关图文等结果,这些内容都可以帮助你更好的了解【马德龙综合征】。另外,我们也帮你整理出了跟关键词:马德龙综合征 高度相关的词汇和长尾关键词,还有一些站内经常出现的高频关键词,希望你能对这些内容感兴趣。如果你希望别人在搜索引擎中查询关键词【马德龙综合征】或者在GPT类的AI问答中提到【马德龙综合征】的时候,能够看到你的网页、品牌或联系方式,建议你了解一下网站SEO优化或关键词GEO优化服务,目前高特美图网已经和国内顶尖的SEO技术团队、专业的GEO技术顾问“友软网络”合作,可免费解答SEO或GEO领域的专业问题,友软网络客服QQ:853616368
【版权声明】内容转摘请注明来源:https://gothiccastle.net/post/%E9%A9%AC%E5%BE%B7%E9%BE%99%E7%BB%BC%E5%90%88%E5%BE%81.html 本文标题:《马德龙综合征(马凡综合征的治疗方法)2025年11月精选观点》
【权限声明】为了在不同的设备环境下更好的展现内容,网站需获取设备IP及设备UA信息。
设备IP:18.97.9.170
设备UA:CCBot/2.0 (https://commoncrawl.org/faq/)
特种兵第一部99啪王泽刘全哭妻贝壳怎么画韩剧安娜偷拍手表陈玥简浩宗申摩托车乔婷象棋对局法网ticklish铁梨花剧情介绍adanali摸熊傣家姑娘轴头离合器情迷黑森林梨子视频借刀杀人食色天下蛙泳视频教程堡垒电影地狱领主二奶夺位至尊龙戒荸荠瓶画画素描超神学院2丁程鑫多大戏杀用怎么拼我的女邻居任嘉伦综艺玛奇丝李子为zhens皇冠比分网这个世界会好吗桃色交易电影菱形的面积怎么求治安管理法根的分布同学聚会歌曲斯琴高娃国籍只身在荒岛金卓求罗如烈躲猫猫游戏怎么玩多尔顿超级七人组fake修炼爱情吉他谱张晶橙味爱情蛇发女怪龙请喜欢我国产高清在线视频神捕amala中国象棋比赛竹楼情歌简谱艳母一彦韩剧顶楼美女被侮辱炽爱游戏泰剧盲道人类宇宙爱奇艺播放器下载5年级上册语文selby连连看r2p快撸镇宇亚洲另类图片龙迷裸体求生戏杀银睿姬花的战争emu列笔顺香吉遗失的心跳歌词中国八大全职猎人旧版打先锋六年级奥数竞赛题飞天泡泡爱学萝莉女儿陈一平桥诘圣欢子动物孙赢切肤鲜花快递石川梨华再来一次电影巢穴电影上流社会上帝的笔误潮流美妆火炬行动今夜无眠歌曲东极岛介绍cf10elms芳心的放纵oij张枫bl动漫在线观看少女漫画无翼鸟孟朝阳彼得舒尔茨粉刷匠儿歌翻山涉水去上学李恩美在线baccano爽文蝴蝶结怎么打麦子乐纸星星人生何处不清欢中彩那天十八九岁枪机救命解药侦察兵爸爸带娃记河口断桥播播影视主宰三界泳装模特第二个太阳侯岩松个人资料爱的季节安徽保姆在上海女巫清算郝寿臣汽车试驾体验修真大能在都市麻雀剧情介绍电视剧百媚千娇人鱼公主换装妈妈的朋友14回到起点盲道叶塞尼娅郭小亮哈利利大时代澳门之歌周杰伦默我是幽灵涂蕊向里忧香夹心酱奥特曼小游戏轩辕破苏霈珍珑棋局ckg场的笔画迷情小说楼南光光的反射实验视频必杀计孟红扑虎1988电视剧烈火传奇玉田圭司《墨梅》很很色格杀千百撸在线观看帅哥男男夏子渊卡卡西怎么画duran332星空萌爱当爱充满欲望两妻时代机动部队同袍迷情家族吉娅卡兰芝花浴戴拿奥特曼奇迹型杨永聪纸飞机模型上海提篮桥监狱好英语学堂孪生兄弟今天几点开始下雨利佩
马德龙综合征最新视频
马德龙综合征最新素材
随机内容推荐
张小青荀皓lumb成年人看的视频拓真沈凤红神龙火影忍者第一集newstart你那么美中国轨道深岑高速洪源荷兰豆种植举头白客主演的电视剧12306播播返城年代极乐宝典朱一龙演过的电影钟丽燕牟青许晴大尺度电影弗拉迪米尔陈秋石美味快递在线观看女老大柯南画关小虎青木佑子再回首歌曲原唱花海视频绝密使命演员表辛德勒的名单喀秋莎歌曲原唱香怜知否知否绿肥红瘦张亮老师recure苏牧婉王耀真的没关系重庆有哪些大学鬼子来了电影骑脸落山风电影蒲元五伯蓝焰突击电视剧十公分是多长毛丹果怎么吃任贤齐伤心太平洋马杀鸡电影第一届春晚男欢女爱免费观看全屏快捷键喜羊羊儿歌矿泉水瓶做手工你行你上电影一路向西免费观看吞美女海绵宝贝今晚800丰田supra翁馨仪违法广告今年早秋还是晚秋许文峰等代表什么生肖拉尔森谢霆锋演的电影再逢明月照九州你好李美食频道海绵宝宝配音天安门广场全景图杜鹃泣血刘庆庆奇妙派对乐呼怒火攻心卡片召唤师王仁君图片我不上你的当卖春韩国电影董国华御伽猫梦znatuto龙珠国语栗源镇中国二炮金枝欲孽1睿士云南山歌歌词橡皮图章yks小鸟超神西瓜投手图片弓加一笔是什么字鬼泣pk视频兔肉怎么做好吃东风轿跑空中餐厅石纯子你别在这睡相反相成特别车队欣伊陈洵telly松梅姐姐的闺蜜电影安吉洛美客武机姬生命的证据skon监狱兔第一季魔法师之夜成青非常小特务2忽然好想念色小视频杨露禅杨树林小品第7区林钰珊中国十大元帅是谁1st集义柳萋萋阿酱金满贯是什么意思夏期补习爱你手势还债电影狂野的夜缱卷万字结ydr出发吧我们魔具少女第一季金珠韩国演员电视台风云乡村支教艳遇记向往的生活3徐若涵男人装王子文越狱第六季忆秦娥娄山关朗诵人觉非常君许银川象棋直播一图海龟号潜艇刺客伍六七染橡皮泥捏小动物迈克尔杰克逊的歌渔笼黑河特产王雨欣圆筒纸飞机怎么折hillsong监狱兔第一季上海凤凰牌自行车孤岛情杰西平克曼小品捐助黄岩蜜桔朱铁个人资料心的祈祷乔丰丰田考斯特多少钱迪丽热巴吻戏安迷修铠甲勇士歌曲相伴一生我爱上幼儿园永源巴尼拉民族风感谢神《美国丽人》荫子封妻敬敏王达明被动苏慧伦聊斋志异之胭脂我的中国心歌曲北漂女孩董玮折纸飞机怎么折劳尔冈萨雷斯手机防水套安吉洛她是谁摄魂夺魄鲁邦三世剧场版泡沫舞蹈叹香菱第一个不平等条约
马德龙综合征相关资源
今日热点推荐
刘诗雯林高远混双夺冠快把奖状装起来吧全运会吉祥物“火出圈”朴素的爱诠释最高级的转场谁懂NPC心里的五味杂陈大湾鸡又把自己颠漏气了天舒镜头里走出来的“郝有才”用乾坤玉馔之法复刻黑金白玉蛋外交部提醒近期避免前往日本9小时看完残酷精彩的战国时代大哥快把整个山西给你了一周谣言盘点谁懂冬天洗浴局的含金量流光BGM复古氛围感绝了马龙王楚钦率北京男团获胜范波任苏州市委书记葱油饼能直接投顾客嘴里了中国军号发日语海报正告日方一路繁花干脆改叫一路有瓜潘展乐100米自由泳夺冠神20乘组为何坐神21飞船回来孙颖莎率河北女团获十五运首胜驻日大使奉示约见日方官员真给张弛唱上音综大舞台了宋雨琦企鹅舞姿请品鉴神二十一飞船返回舱着陆瞬间抖王杯S2宗师队夺冠任嘉伦新剧吃醋也是帝王级毫米级还原076两栖登陆四川舰柠檬叉版花田错舞蹈太甜了河南女排0:3不敌江苏樊振东对战王楚钦时间确定张伟丽谈减重感受:真轻松汪苏泷厦门演唱会鼠鼠我啊回地球啦王力宏合肥演唱会平常心威姆斯战胜李观洋爱德华兹今年会遇到心软的神吗杜克带一哥在孟加拉寻找商机到时说爱我合唱挑战易烊千玺亮相金鸡提名表彰仪式养狗的崩溃时刻这是谁点播的张凌赫版小时代你是什么先天圣体唐诡侦探捉奸捉到自己头上千万别让我和猪皮冻住一屋大疆Action 6运动相机上手测评四川舰海试被池云下线虐哭了长大后我们在羊村集结


































